Salud
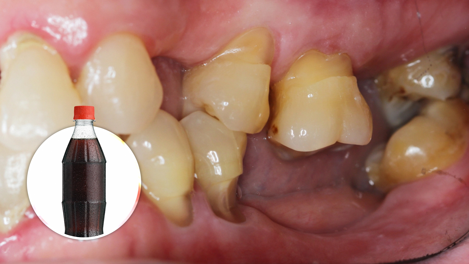
Cuidado: Esto le hace el refresco a tus dientes
El refresco no solo es azúcar… también es ácido.
Desde el primer trago… empieza el daño.
El líquido entra a tu boca… y cubre cada diente como una capa invisible.
El ácido comienza a atacar el esmalte… la parte más dura de tu cuerpo.
Pero no es indestructible.
Poco a poco… ese esmalte se va debilitando… se va desgastando… como si lo estuvieran raspando en silencio.
Luego entra el azúcar.
Las bacterias en tu boca se alimentan de ella… y producen más ácido.
Más ataque.
Más desgaste.
Como si tus dientes estuvieran bajo un ataque constante… trago… tras trago… tras trago.
Al principio… no lo sientes.
Pero por dentro… el esmalte se adelgaza… se vuelve más frágil… más sensible.
— Un tip sencillo: después de tomar refresco, enjuágate la boca con un poco de agua.
No elimina todo el daño… pero ayuda a reducir el ácido.
Hasta que un día… el dolor aparece.
Un frío… un dulce… y sientes un golpe directo al nervio.
Porque lo que protegía tu diente… ya no está igual.
No es solo una bebida.
Es un desgaste lento… constante… y muchas veces… irreversible.
Por eso… cada vez que tomas refresco… no solo estás calmando la sed… estás debilitando tu sonrisa.
— Un tip sencillo: después de tomar refresco, enjuágate la boca con un poco de agua.
No elimina todo el daño… pero ayuda a reducir el ácido.
-
Business2 años agoEl doctor que quiso cambiar al mundo y lo silenciaron
-
Entretenimiento1 año ago¿Qué te depara 2025? Baba Vanga predice prosperidad para estos signos zodiacales
-
Política2 años agoAMLO confirma que su hijo Andrés aspira a liderazgo en Morena
-
Deportes1 año agoFIFA confirma las sedes de los Mundiales 2030 y 2034: lo que debes saber
-
Lo más reciente1 año agoGeorge Hodgson: «El regreso de la visa no afecta la relación entre Colombia y Reino Unido»
-
Lo más reciente1 año agoConfirman primer caso de gripe aviar en un adolescente en Canadá
-
Lo más reciente1 año agoNuevo León tendrá un nuevo Hospital Regional del IMSS
-
Internacional1 año agoEl Papa Francisco asiste al Consistorio con un hematoma tras un accidente doméstico