Lo más reciente
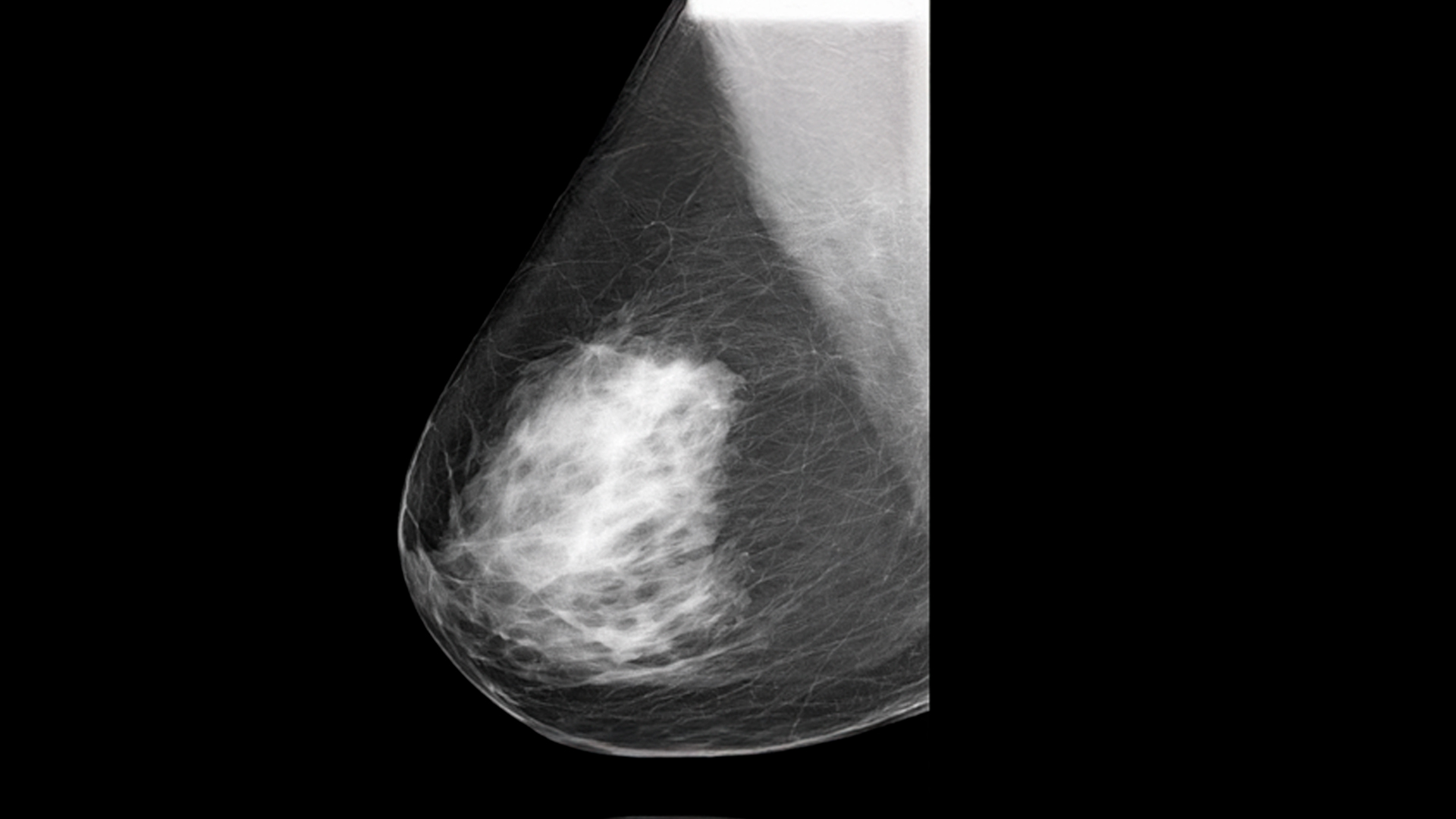
Síntomas de cáncer de mama que todas las mujeres deben conocer
👉👉 Muchas mujeres creen que el cáncer de mama solo se detecta cuando aparece un pequeño bulto.
Pero la realidad es que el cuerpo puede enviar muchas otras señales…
y algunas pasan desapercibidas.
Conocer estos síntomas no significa vivir con miedo.
Significa estar atenta.
Aquí están los signos más importantes que los médicos recomiendan vigilar:
AYÚDAME A QUE TODAS LAS MUJERES DE TU FAMILIA CONOZCAN ESTA INFORMACIÓN.
1. Bulto o masa en el seno o la axila 🍊
Puede sentirse duro, irregular o diferente al tejido habitual. No todos duelen.
2. Piel con textura de “naranja” 🔴
La piel se ve gruesa, con pequeños hoyuelos.
3. Enrojecimiento o irritación persistente 🔥
No mejora con cremas ni con el paso de los días.
4. Dolor localizado que no desaparece 🔽
No todo dolor es cáncer, pero si es constante y sin causa clara, debe revisarse.
5. Hundimiento del pezón (pezón invertido nuevo) 💧
Si antes no estaba así y cambia repentinamente, es señal de alerta.
6. Secreción del pezón sin estar embarazada o lactando 🩹
Especialmente si es sanguinolenta o transparente.
7. Costras, heridas o úlceras en el pezón o la piel 📏
Que no cicatrizan.
8. Cambio en el tamaño o forma del seno 🟣
Asimetrías nuevas o alteraciones visibles.
9. Crecimiento visible de venas en la superficie 🧱
Sin razón aparente.
10. Engrosamiento de la piel o del tejido 👀
Sensación de zona más dura o diferente al resto.
11. Inflamación total o parcial del seno ❗
Aunque no haya un bulto evidente.
12. Sensación de bulto “invisible” o molestia profunda
A veces no se palpa claramente, pero se siente distinto al resto del tejido.
⚠️ IMPORTANTE
No todos estos síntomas significan cáncer de mama.
Pero si alguno aparece y persiste por más de dos semanas, lo correcto es acudir al médico.
La detección temprana salva vidas.
Autoexplorarse una vez al mes, realizar mastografías según la edad y consultar ante cualquier cambio puede marcar la diferencia.
-
Business2 años agoEl doctor que quiso cambiar al mundo y lo silenciaron
-
Entretenimiento1 año ago¿Qué te depara 2025? Baba Vanga predice prosperidad para estos signos zodiacales
-
Política1 año agoAMLO confirma que su hijo Andrés aspira a liderazgo en Morena
-
Deportes1 año agoFIFA confirma las sedes de los Mundiales 2030 y 2034: lo que debes saber
-
Lo más reciente1 año agoGeorge Hodgson: «El regreso de la visa no afecta la relación entre Colombia y Reino Unido»
-
Lo más reciente1 año agoConfirman primer caso de gripe aviar en un adolescente en Canadá
-
Lo más reciente1 año agoNuevo León tendrá un nuevo Hospital Regional del IMSS
-
Internacional1 año agoEl Papa Francisco asiste al Consistorio con un hematoma tras un accidente doméstico